Facharzt für Mund-, Kiefer und Gesichtschirurgie
Zertifizierter Implantologe

Prim.MR Dr.Med.univ. & Dr.med.dent Msc, Msc
Franz Schuster
Telefon
+43 (0) 6642125251
Anschrift
Kremser Gasse 1, 3100 Sankt Pölten, Österreich
schustfr65@gmail.com

Herzlich willkommen
in der Ordination von Prim.MR Dr.Med.univ. & Dr.med.dent Msc, Msc – Ihrem Facharzt für Mund-, Kiefer- und Gesichtschirurgie mit dem Anspruch an höchste medizinische Qualität und individueller Betreuung.
Wir verbinden fachliche Expertise mit menschlicher Fürsorge und begleiten Sie auf dem Weg zu optimaler Mundgesundheit – ob Routinebehandlung oder komplexer Kieferchirurgie.
Leistungen
Zahngesundheit & Prophylaxe
Implantologie & Knochenaufbau
Zahnmedizin & Oralchirurgie
Funktion, Ästhetik & Lächeln
Mund-, Kiefer- und Gesichtschirurgie
Schwerpunkte
Zahnerhaltung
Wir bieten das komplette Spektrum des chirurgischen Zahnerhalts.
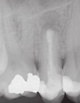
Die Wurzelspitzenresektion stellt bei therapieresistenten apikalen Prozessen nach wie vor eine gute Möglichkeit dar, Zähne im Munde unserer Patienten zu erhalten.
Bei nicht durchführbarer orthograder Aufbereitung (z. B. Stift, Kanalsklerose) oder bei apikal insuffizienter Abdichtung sollte idealerweise eine retrograde Kanalaufbereitung mit Ultraschallmikrospitzen und anschließender retrograder Kanalfüllung durchgeführt werden, um einen Zahnerhalt zu ermöglichen.
Die retrograde Kanalaufbereitung mit Ultraschallmikrospitzen stellt keine Kassenleistung dar.
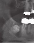
Bei chronischer Paradontitis können wir durch eine Flap-Operation die nach der Initialtherapie verbliebenen Resttaschen über 5 mm chirurgisch eliminieren.
Durch die chronische Entzündung entstandenen vertikalen Knochendefekte können durch augmentative Verfahren der Parodontalchirurgie behandelt werden.
Die plastische Parodontalchirurgie ermöglicht uns Weichgewebsdefekte bei Rezessionen auszugleichen und zu stabilisieren.
- Wurzelspitzenresektion
- Retrograde Kanalaufbereitung mit Ultraschallmikrospitzen
- Retrograder Kanalfüllung
- Flap-Operation
- Knochentaschenaugmentationen
- Rezessionsdeckung
Implantologie
Wir bieten das komplette Spektrum zeitgemäßer Implantatversorgungen. Es reicht von der Versorgung von Einzelzahnlücken (auch im ästhetisch besonders anspruchsvollen Frontbereich) über die Versorgung mehrstelliger Lücken bis zur computergestützten, minimalinvasiven Versorgung des zahnlosen Kiefers selbst bei schwierigsten Knochensituationen.
Die computergestützte Implantatversorgung mit dem Nobel-Guide-System erlaubt, unseren Patienten die derzeit minimalinvasivste und patientenfreundlichste Methode der Implantatchirugie anzubieten. Minimierte postoperative Beschwerden durch minimierten operativen Zugang!
Von unseren Patienten besonders geschätzt wird auch das Verfahren der Sofortimplantation mit provisorischer Sofortversorgung.
Selbstverständlich führen wir auch alle notwendigen prä- und
periimplantologischen Hart- und Weichgewebeaufbauten und -optimierungen durch.
- Computergestützte Implantologie mit Nobel Guide
- Implantate für Brückenversorgung
- Leerkieferversorgung für Kugelkopf oder Stegversorgungen
- 4 Implantate Interforaminal oder Interantral für all on four Versorgung
- Einzelzahnimplantate auch im ästethisch kompromittierten Frontzahnbereich
- Sinuslift
- Alveolarkammspaltung
- Autologe Knochentransplantationen
- Weichteilmodifikationen
- Piezochirurgie
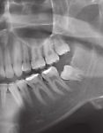
Retinierter Zähne
Wir bieten routinierte Entfernung retinierter Zähne. Bei besonders schwieriger anatomischer Lage (direkte Lage am n.alveolaris inferior) bieten wir durch Einsatz piezochirurgischer Osteotome die derzeit weichgewebs-schonendste Methode der Entfernung insbesondere der unteren Weisheits-zähne an.
Der Einsatz eines Chirurgielasers und eine direkte postoperative photodynamische Softlaserbehandlung minimieren die postoperativen Beschwerden unserer Patienten.
Auch die Freilegung retinierter Zähne zur anschließenden
kieferorthopädischen Eingliederung in die Zahnreihe wird im Bedarfsfall durch den Einsatz piezochirurgischer Präparationsmethoden durchgeführt.
Wir bitten Sie Ihre Patienten darauf hinzuweisen, dass der Einsatz von Piezochirurgie, Chirurgielaser und Softlaser zur postoperativen photodynamischen Therapie * keine Kassenleistung darstellt.
* … wird selbstverständlich nach allen oralchirurgischen Eingriffen
empfohlen und angeboten.
- Routinierte Entfernung retinierter Zähne
- Piezochirurgie
- Laserchirurgie
- Postoperative photodynamische Softlasertherapie*
- Präkieferorthopädische Freilegung retinierter Zähne
Ihr Zahnarzt weiß, was das Beste für Sie ist
Lassen Sie sich beim Zähneputzen Zeit
Gründliches Zähneputzen braucht Geduld – so erreichen Sie auch schwer zugängliche Stellen und schützen Ihr Zahnfleisch langfristig.
Regelmäßige Zahnarztbesuche – alle 6 Monate
Vorsorge ist die beste Behandlung: Mit regelmäßigen Kontrollterminen können kleine Probleme frühzeitig erkannt und einfach behoben werden.
Vergessen Sie das Zahnseide nicht!
Zahnseide entfernt Speisereste und Beläge dort, wo die Zahnbürste nicht hinkommt – für gesunde Zähne und frischen Atem.
Ordination
Zahnmedizin für die ganze Familie
Sanfte, moderne und individuelle Zahnbehandlung – für Kinder, Erwachsene und Senioren. Ein Lächeln, das ein Leben lang begleitet.
Für die ganze Familie.
Für jedes Lächeln.
Für jede Lebensphase.
Unsere Räumlichkeiten sind hell, freundlich und optimal auf Ihre Bedürfnisse eingerichtet. Von der Diagnostik bis zur Behandlung achten wir auf ein angenehmes Ambiente, diskrete Abläufe und eine umfassende Betreuung.
Kontakt
Im Herzen von St. Pölten stehen wir Ihnen mit Fachkompetenz, Erfahrung und moderner Zahnmedizin als verlässlicher Partner für Ihre Zahngesundheit zur Seite.
Prim.MR Dr. Med. univ. Dr.med.dent Franz Schuster, Msc, Msc
Kremsergasse 1, 3100 St. Pölten
Telefon: 06642125251
Öffnungszeiten:
Montag: 12:00 – 18:00
Mittwoch: 12:00 – 18:00
E-Mail:
schustfr65@gmail.com







